When
Sunday 1 Mar 2026 - Friday 10 Apr 2026
- 2:00 pm
Where
Easter Raffle Appeal
Ozzy’s story began very quietly, and that’s what worried everyone most…..
Ozzy is a 9-year-old Shih Tzu, just 8.7kg of fluff and gentleness. His owner told us he’s usually a very chilled little dog, happy to potter about and enjoy life. However, he’s well known for having a cheeky habit: stealing socks whenever he gets the chance. Over the years, if Ozzy ever managed to eat one, he’d usually pass it without trouble. It had become one of those ‘Ozzy things’.
But this time was different, Ozzy wasn’t himself at all. He’d gone off his food, was losing weight, shivering, and had a very sore, tense stomach. He was painfully quiet and something was very wrong.
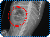
X-rays confirmed everyone’s fears: the sock was stuck. Ozzy couldn’t pass it, and he urgently needed help. Because of supporters like you, that help was ready.
Ozzy went straight into surgery, and it was then our veterinary team discovered the sock had caused serious damage. A portion of Ozzy’s intestine had to be removed, and there was a very real danger that his small body might not recover.
Ozzy stayed in our care after surgery, on a drip, receiving intensive monitoring, pain relief, and nursing. He was kept warm, comfortable, and surrounded by a team who never stopped rooting for him.
The days that followed were tense. His recovery was uncertain and there were some setbacks. But slowly, Ozzy began to show signs of hope. He became brighter. He started to fight his way back, and most importantly, he began to eat.
Today, Ozzy is back where he belongs, with his brother Oreo and his loving family. He’s safe, comfortable, and his happy little self again.
Your donations didn’t just fund X-rays, complex surgery, and intensive aftercare. They gave Ozzy a chance when the odds were stacked against him. They meant he wasn’t alone when things were at their most frightening for his owners.
From Ozzy, his family, and the team who cared for him – thank you, Ozzy wouldn’t be here today without you.
Please help us to save more pets like Ozzy by donating or taking part in our Easter Raffle.
The Easter Raffle Draw will take place on Friday 10th of April 2026.
EASTER RAFFLE PRIZE LIST
1st Prize: Galway Races Summer Festival Weekend admission and reserve seats for 6 people, sponsored by Galway Racecourse (Value €660).
2nd Prize: Gregans Castle One Night’s Bed & Breakfast for Two People; includes a full Irish breakfast and a gourmet seasonal dinner, cooked by our award-winning chef (Value €599).
3rd Prize: Elm Park Golf Club Four Ball Voucher (Value €400).
4th Prize: EPIC Museum Five Family Passes (Value €225).
5th Prize: Deer Park Golf Club Four Ball Voucher (Value €140).
6th Prize: Maxi Zoo Voucher (Value €100).
7th Prize: Donabate Golf Club Four Ball Voucher (Value €100).
8th Prize: Explorium Gift Card (Value €100).
9th Prize: OPW Family Heritage Card (Value €90).
10th Prize: Lindt Chocolate Gift Hamper. (Value €80).
11th Prize: Two National Concert Hall Tickets (Value €85).
12th Prize: Family Pass to Dublin Zoo (Value €75).
13th Prize: Two Abbey Theatre tickets (Value €65).
14th Prize: Two Stillgarden Tour & Tasting Experiences (Value €52).
15th Prize: Two Irish Whiskey Museum Passes (Value €50).
16th Prize: Smock Alley Theatre Voucher (Value €50).
17th Prize: Two Roe & Co Distillery Tours (Value €50).
18th Prize: Two Guinness Storehouse Passes (Value €44).
19th Prize: Two Teeling Distillery Tours with Tasting Experience (Value €40).
SELLERS’ PRIZES
1st Seller Prize: Voucher for Rascals Brewery & Restaurant (Value €50).
2nd Seller Prize: Voucher for Casper & Giumbini’s (Value €50).
3rd Seller Prize: Voucher for Tropical Popical Beauty (Value €50).
4th Seller Prize: Voucher for Two for The Hotbox Sauna (Value €40).